Maladies des poules
La ponte chez la poule
La ponte est un phénomène naturel chez les poules de compagnie. Elle survient dès la maturité sexuelle (entre 3 et 5 mois) et elle est généralement quotidienne et régulière pendant 3 à 4 ans. Les anomalies de ponte ne sont pas rares. L'oeuf peut présenter une coquille molle ou être cassé. La coquille de l'oeuf peut présenter une décoloration ou une surface irrégulière à rugueuse. De multiples maladies peuvent se présenter sous cette forme telle que la bronchite infectieuse, une inflammation de la glande coquillière ou un défaut de calcium alimentaire.
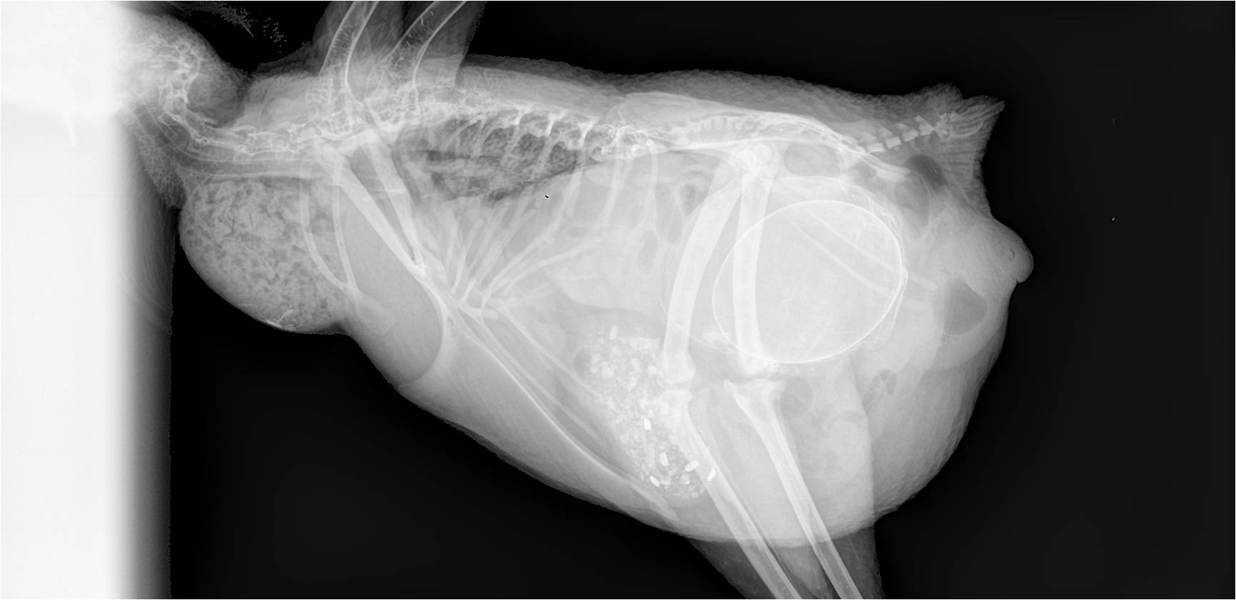
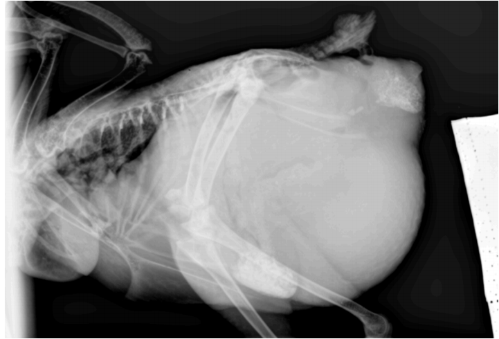
Arrêt de la ponte
L'arrêt de la ponte peut être naturelle en hiver et certaines races sont aussi moins prolifiques que d'autres. Néanmoins, l'arrêt de la ponte peut également être un signe de maladie grave, telle qu'une rétention d'oeuf ou une impaction de l'oeuf dans le corps de la poule. Cela produit alors une infection de l'appareil reproducteur (une salpingite) ou des pontes ectopiques (ponte d'un oeuf à l'intérieur du corps). Le diagnostic fait souvent appel à des moyens d'imagerie (radiographie, échographie) et le traitement est généralement chirurgical avec une chirurgie coelomique de salpingectomie.
Maladies respiratoires de la poule
Les maladies respiratoires sont très fréquentes chez les poules. Elles se manifestent principalement par une poule qui tousse, ou des écoulements au niveau des narines et un gonflement autour de l'oeil. Dans les cas les plus graves, elles ont tendance à ouvrir le bec pour chercher de l'air et à respirer vite, la crête peut devenir plus sombre voire bleue. De très nombreuses affections peuvent provoquer ce type de symptôme dont les maladies virales (bronchite infectieuse, laryngotrachéite infectieuse,...), les maladies bactériennes (mycoplasmose,...), les maladies parasitaires (vers de trachée tel que les syngames), fongiques (aspergillose) ainsi que n'importe quel corps étrangers dans la trachée. D'autres causes incluent aussi n'importe quelle maladie pouvant potentiellement appuyer sur les poumons (organomégalie, aérosacculite, épanchement, maladie cardiaque,...). Le diagnostic est difficile et une prise en charge en urgence est parfois nécessaire en cas de difficultés respiratoires.
Mycoplasme
Les mycoplasmes sont fréquents chez la poule (ainsi que chez les passereaux domestiques tel que les canaris ou les diamants mandarins). Les mycoplasmes provoquent de la toux mais aussi des conjonctivites, des sinusites et parfois des anomalies de ponte ou des gonflements articulaires. Elles surviennent généralement en association avec des infections virales ou des carences nutritionnelles.
Ce sont des bactéries intracellulaires dont le diagnostic est difficile car elles ne poussent pas sur des milieux conventionnels. Des antibiotiques spécifiques sont nécessaires pour en venir à bout et des traitements de longue durée sont recommandés.
Boiterie de la poule
Les poules peuvent présenter des boiteries d'une ou de deux pattes. Ces boiteries peuvent avoir deux origines principales, soit d'origine orthopédique (anomalie des os ou des muscles) soit d'origine neurologique (anomalie des nerfs). Il est important dans un premier temps de bien inspecter les pattes pour vérifier l'absence de pododermatite (inflammation, blessure au niveau de la voûte plantaire). Les causes d'anomalies sont extrêmement variées et incluent des inflammations articulaires, des fractures, des compressions nerveuses ou des maladies virales (telle que la maladie de Marek). A minima, une
radiographie est nécessaire voire un
scanner. En cas de fracture, une
chirurgie orthopédique peut être nécessaire.
Pododermatite
Les pododermatites sont fréquentes et problématiques chez la poule. Elles résultent souvent d'une combinaison de facteurs tels que l'hygiène du poulailler, la nature du sol et le poids de la poule. La voûte plantaire peut présenter des ulcérations ou des gonflements.
Les traitements sont nombreux et peuvent nécessiter parfois des chirurgies ou des traitements spécifiques à base de perfusion locale d'antibiotique.
Parasites des poules
Les poules peuvent être sujettes à de nombreux parasites externes et internes. Les parasites les plus courant sont les poux et notamment les poux rouges. Ils provoquent des démangeaisons intenses et parfois de l'anémie. On retrouve également la gale des pattes qui est causée par un acarien. Les parasites internes sont également fréquents : ascaris, capillaria, syngame, coccidies, etc... Le meilleur moyen de traiter les parasites est de procéder à leur identification grâce à une coprologie. En effet, il existe de très nombreuses combinaisons d'anti-parasitaires et il est préférable de manière générale de limiter leur usage (surtout s'il n'y a aucun parasite visible!).
Maladie de Marek
La maladie de Marek est une maladie virale extrêmement contagieuse chez les poules. Elle provoque de très nombreux symptômes liés au développement de tumeurs, des anomalies nerveuses (boiterie) voire de l'abattement. Le diagnostic peut être assez complexe tant cette maladie se présente sous des formes diverses et variées. Elle est malheureusement fatale. La vaccination est généralement pratiquée sur les poussins à l'âge de 1 jour mais n'est pas réalisée en pratique chez les poules de compagnie adulte.
Picage
Les poules ont parfois tendance à se piquer et présenter des pertes de plumes spectaculaires ou des rougeurs au niveau de la peau. C'est un problème généralement complexe. On distingue des causes comportementales et des causes médicales. Parmi les causes médicales: des carences nutritionnelles, une inflammation, des parasites et la mue sont souvent invoquées. Dans les causes comportementales: un déséquilibre dans le groupe de poule, une forte densité, l'absence de terrain pour chercher de la nourriture ou l'absence de bain de sable prédisposent à ce type de problème.
Poux rouges
Les poux rouges (Dermanyssus gallinae) sont de redoutables parasites chez les poules. Ils ne vivent pas sur la poule mais dans les interstices en bois du poulailler et viennent piquer les poules pendant la nuit. Lors d'infestation intense, les poules peuvent être fortement anémiées et cela peut entrainer leur décès. Les poux rouges attaquent aussi potentiellement les humains. Pour traiter une infestation, il faut bien connaitre l'environnement dans lequel évoluent les poules. De nombreuses solutions naturelles existent pour éviter d'utiliser des anti-parasitaires (pesticides) qui ne doivent être utilisés qu'en dernier recours.
Diarrhée
Les poules présentent parfois de la diarrhée. Il convient de distinguer la diarrhée, qui est une maladie, de l'émission de fientes caecales qui sont des fientes très liquides expulsées de temps à autre lors de stress. La diarrhée peut être causée par de nombreux problèmes, soit par des bactéries ou des parasites (coccidies) ou encore par des causes totalement différentes telle que des corps étrangers, des anomalies de la ponte ou une forte distension abdominale. Toute modification des selles chez la poule doit motiver des examens approfondis tel qu'une radiographie a minima pour déterminer la cause et fournir le traitement le plus adapté.
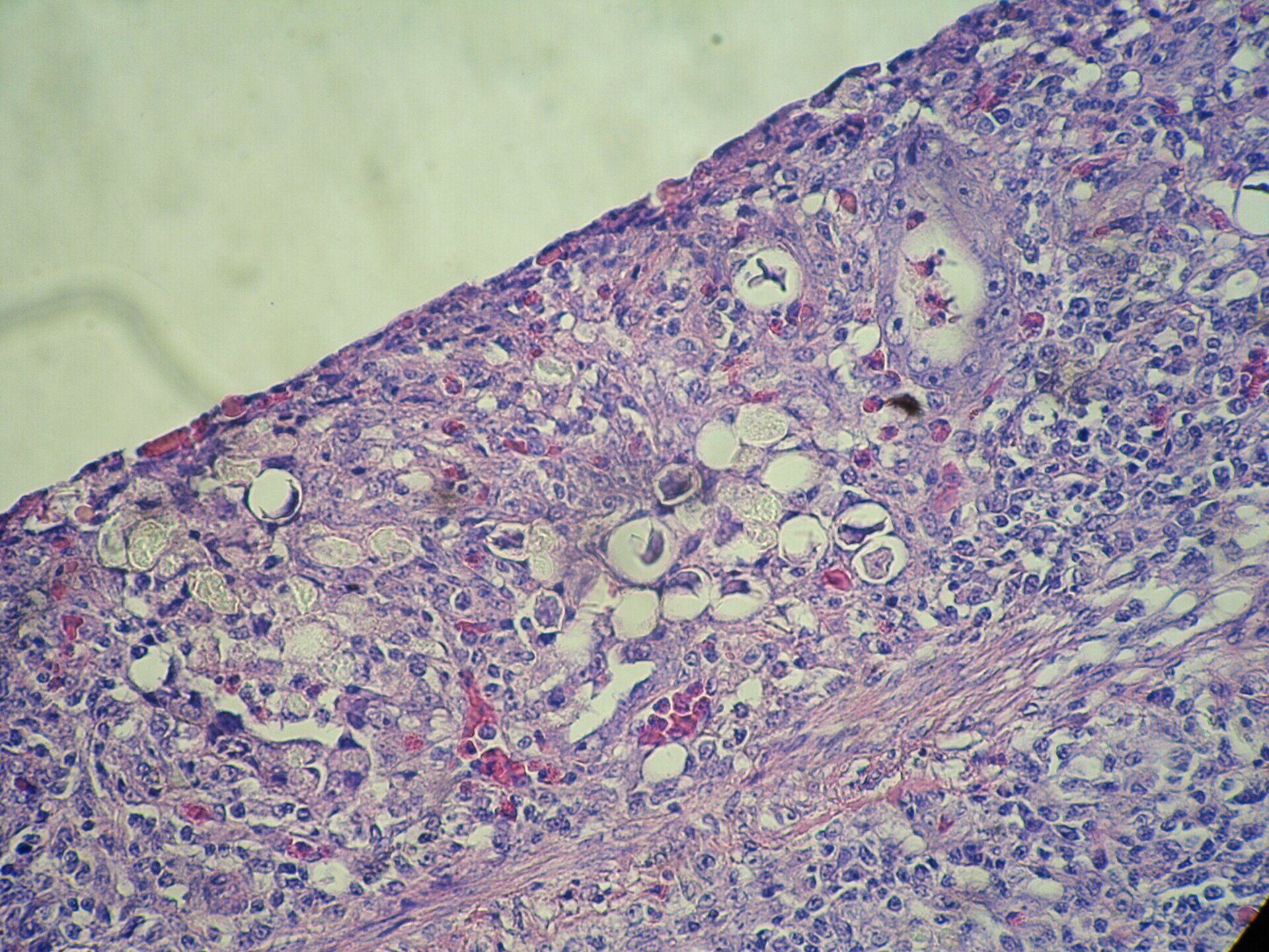
Coccidiose
La coccidiose est une affection causée par des parasites appelés coccidies. Les coccidies sont naturellement présentes dans le tube digestif des poules dans lequel plusieurs espèces cohabitent. Généralement, elles ne sont pas pathogènes. Cependant, dans certains cas de figure, elles peuvent provoquer de la diarrhée, souvent hémorragique dans ces cas-là. Elles affectent préférentiellement les poules dans les premiers mois de leur vie. Dans ce cas, la poule apparait rapidement abattue et nécessite des soins hospitaliers pour être réhydratée et un traitement spécifique pour les coccidies.






















