Maladies des furets
Stérilisation et maladie surrénalienne des furets
Les furets sont une espèce particulière car la stérilisation chirurgicale (ou castration) provoque, chez un eux, un déséquilibre hormonal. Ce déséquilibre conduit à une transformation tumorale des glandes surrénales, sous l'effet des hormones de l'hypopohyse, entre 3 et 5 ans après la stérilisation chirurgicale. Lors de stérilisation chimique, ce risque est nettement plus faible. Les signes cliniques de la maladie surrénalienne chez le furet se manifestent par une perte importante de poils (avec une queue dite en queue de rat), des démangeaisons, une perte de poids, parfois des difficultés à uriner ou un oedème de la vulve chez la femelle. La maladie surrénalienne semble également prédisposer à l'insulinome et à d'autres troubles pathologiques.
Une synthèse a été réalisée par le Dr HUYNH et son équipe dans la revue Vet Clinics of North America (VCNA) :
Huynh, M., Chassang, L., Zoller, G. Evidence-Based Advances in Ferret Medicine. Vet Clin North Am Exot Anim Pract 20, 773-803, doi:10.1016/j.cvex.2017.04.009 (2017).
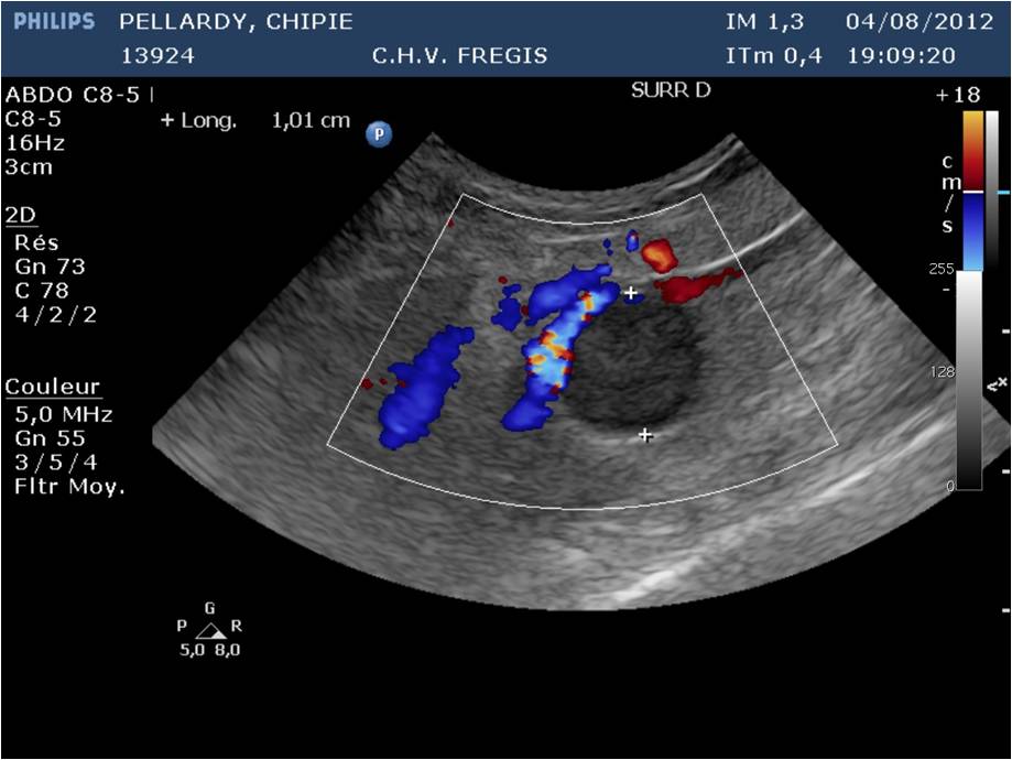
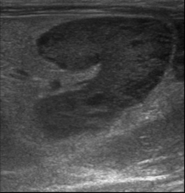
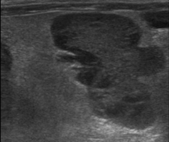
Tumeur surrénalienne chez le furet
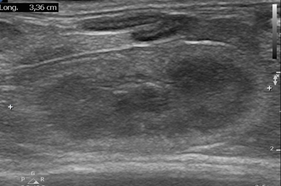
Lorsque les glandes surrénales sont fortement stimulées, elles deviennent progressivement hyperplasiques puis tumorales (tumeur bénigne puis maligne). Le diagnostic peut être établi par échographie, réalisée par un vétérinaire expérimenté avec les furets, et par une prise de sang (dosage des hormones en question). Suivant l'extension et la présence ou non d'embole vasculaire, il est recommandé de poser un implant hormonal ou de réaliser une surrénalectomie. Cette chirurgie est particulièrement risquée à cause de la proximité des glandes surrénales avec l'aorte, un vaisseau sanguin vital pour l'organisme. Il peut être utile d'utiliser des outils de microchirurgie ainsi que du matériel de pointe tel qu'une caméra endoscopique per-opératoire Vitum pour maximiser la réussite de la chirurgie.
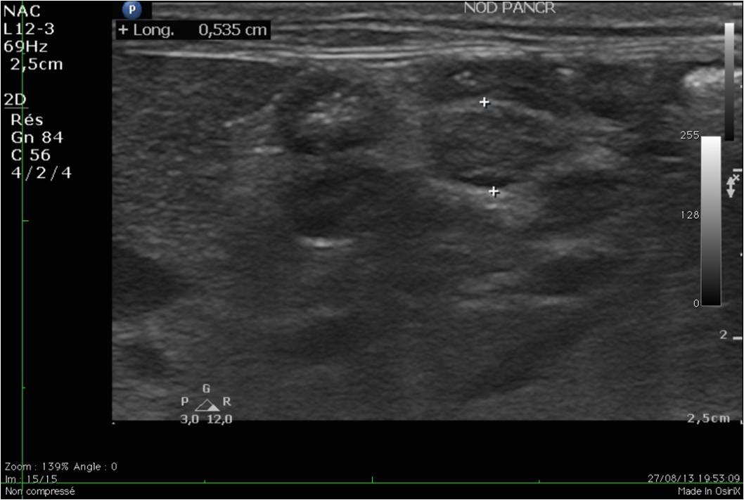
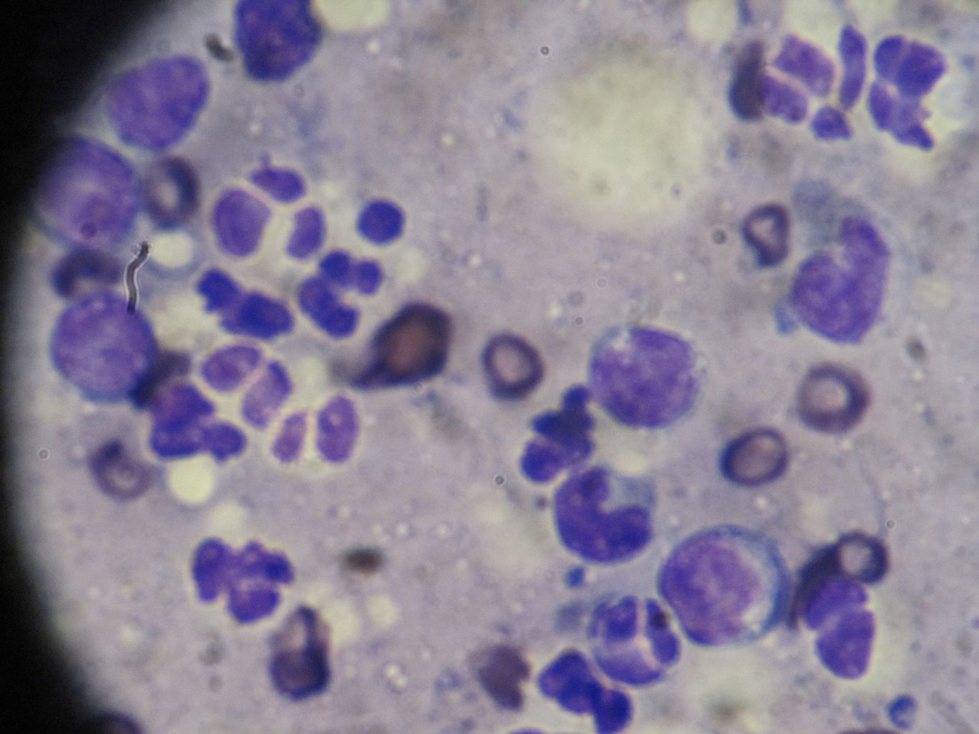
Insulinome du furet
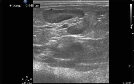
Les insulinomes sont des tumeurs du pancréas, le plus souvent bénignes. Elles sont particulièrement fréquentes chez les furets de plus de 5 ans. On retrouve les signes cliniques suivants: léthargie, augmentation du sommeil, paralysie des pattes arrières, bruxisme (grincements de dents), convulsions,... Il est actuellement suspecté que les furets consommant des croquettes riches en amidon seraient prédisposés à cette maladie.
Le diagnostic se fait par prise de sang et par échographie, réalisée par un vétérinaire expérimenté. Parfois, un traitement doit être administré en urgence, car les crises d'hypoglycémie peuvent être mortelles. Une hospitalisation est nécessaire en cas de crises convulsives. Les premières phases du traitement sont médicales mais une chirurgie (pancréatectomie) peut être recommandée dans certaines formes d'insulinome. Nous utilisons pour ce faire la technologie Ligasure pour minimiser le temps opératoire et les risques associés à l'opération.
Une synthèse a été réalisée par le Dr HUYNH et son équipe dans la revue Vet Clinics of North America (VCNA) :
Huynh, M., Chassang, L., Zoller, G. Evidence-Based Advances in Ferret Medicine. Vet Clin North Am Exot Anim Pract 20, 773-803, doi:10.1016/j.cvex.2017.04.009 (2017).
Autres tumeurs du furet
Les furets sont des animaux très sensibles aux tumeurs. Les tumeurs se développent à partir de la multiplication anarchique de cellules dans les tissus de l'organisme. Celles-ci peuvent être bénignes lorsqu'elles ont une évolution lente et peu invasive ou maligne lorsque leur croissance est rapide. Elles peuvent engendrer des métastases sur les tissus adjacents ou à distance (souvent dans le foie ou les poumons).
Pour diagnostiquer et classifier une tumeur, il faut a minima un examen cytologique ou histologique sur un prélèvement réalisé en chirurgie. Un bilan d'extension par radiographie, échographie et/ou scanner est recommandé de manière générale, pour vérifier la présence de métastases. Cela permet également de planifier une chirurgie au besoin et d'adapter le traitement post-opératoire.
Lymphome des furets
Le lymphome est une tumeur des cellules blanches sanguines particulièrement fréquente chez le furet. Le lymphome du furet peut affecter le système digestif, les noeuds lymphatiques, le foie, la peau voire les yeux ou le système nerveux. C'est une maladie dont la présentation est très variée. Le diagnostic réclame des examens d'imagerie (radiographie, échographie, scanner, ponction de moelle osseuse) couplé à des analyses en laboratoire spécialisé (cytologie ou histologie). Les examens sont importants à plus d'un titre, d'une part pour évaluer l'extension de la maladie et d'autre part pour confirmer la maladie. En effet de nombreuses autres maladies (coronavirus notamment) peuvent ressembler au lymphome chez le furet.
Une synthèse a été réalisée par le Dr HUYNH et son équipe dans la revue Vet Clinics of North America (VCNA) :
Huynh, M., Chassang, L. & Zoller, G. Evidence-Based Advances in Ferret Medicine. Vet Clin North Am Exot Anim Pract 20, 773-803, doi:10.1016/j.cvex.2017.04.009 (2017).
La chimiothérapie est aussi possible chez le furet
Une fois le diagnostic confirmé, le traitement de choix du lymphome chez le furet est la chimiothérapie. La chimiothérapie vétérinaire vise à améliorer le confort de vie du furet tout en évitant au maximum les effets secondaires. Il n'existe pas un protocole mais plusieurs protocoles qui doivent être ajustés en fonction du patient afin d'éviter le plus possible les effets secondaires. Il existe des protocoles par voie intra-veineuse mais aussi des protocoles par injection sous-cutanée ou des protocoles uniquement avec des médicaments oraux.
Une discussion importante doit avoir lieu avec le vétérinaire pour cerner les objectifs de la chimiothérapie.
Maladie digestive du furet
Les furets sont très sujets aux maladies digestives. Leurs selles peuvent être de consistance plus ou moins moulées mais parfois on notera des diarrhées régulières. C'est ce que l'on appelle les maladies digestives chroniques du furet. Il existe de très nombreuses causes à cela, elles peuvent être d'origine alimentaire, inflammatoire, tumorale (lymphome), parasitaire ou encore bactérienne (hélicobacter). Le diagnostic se fait principalement par prise de sang, échographie et par endoscopie digestive. Cette dernière permet de faire des prélèvements pour confirmer le diagnostic et ajuster le traitement. La maladie digestive peut s'étendre au foie.
Notre équipe est une référence mondiale en la matière notamment grâce à des publications dans les domaines de la gastroentérologie et de l'hépatologie du furet:
Pignon, C., Huynh, M., Husnik, R. & Jekl, V. Flexible Gastrointestinal Endoscopy in Ferrets (Mustela putorius furo). Vet Clin North Am Exot Anim Pract 18, 369-400, doi:10.1016/j.cvex.2015.05.002 (2015).
Devaux, L., Huynh, M., Hernandez, J. & Nicolier, A. Upper gastrointestinal endoscopy in ferret and the histological assessment of the endoscopic biopsies. Vet Rec 178, 96, doi:10.1136/vr.103164 (2016).
Huynh, M. & Pignon, C. Gastrointestinal Disease in Exotic Small Mammals. J Exot Pet Med 22, 118-131, doi:10.1053/j.jepm.2013.05.004 (2013).
Huynh, M. & Laloi, F. Diagnosis of liver disease in domestic ferrets (Mustela putorius). Vet Clin North Am Exot Anim Pract 16, 121-144doi:10.1016/j.cvex.2012.10.003 (2013).
Helicobacter : une bactérie fréquente dans l'estomac des furets
Les helicobacters sont des bactéries présentent dans l'estomac des furets. On retrouve le même type de bactéries dans l'estomac des humains et celles-ci sont responsables de symptômes similaires, elles provoquent des ulcères gastriques. Ces ulcères entrainent des douleurs digestives (posture allongée, abattement, douleurs abdominales à la palpation) voire des vomissements. En cas de vomissement, il faudra aussi envisager la possibilité d'un corps étranger avalé par inadvertance ce qui est fréquent chez les jeunes furets. Le diagnostic d'helicobacter requiert généralement des biopsies digestives. Le traitement repose sur l'administration d'antibiotiques pendant un temps relativement long.
Maladie cardiaque
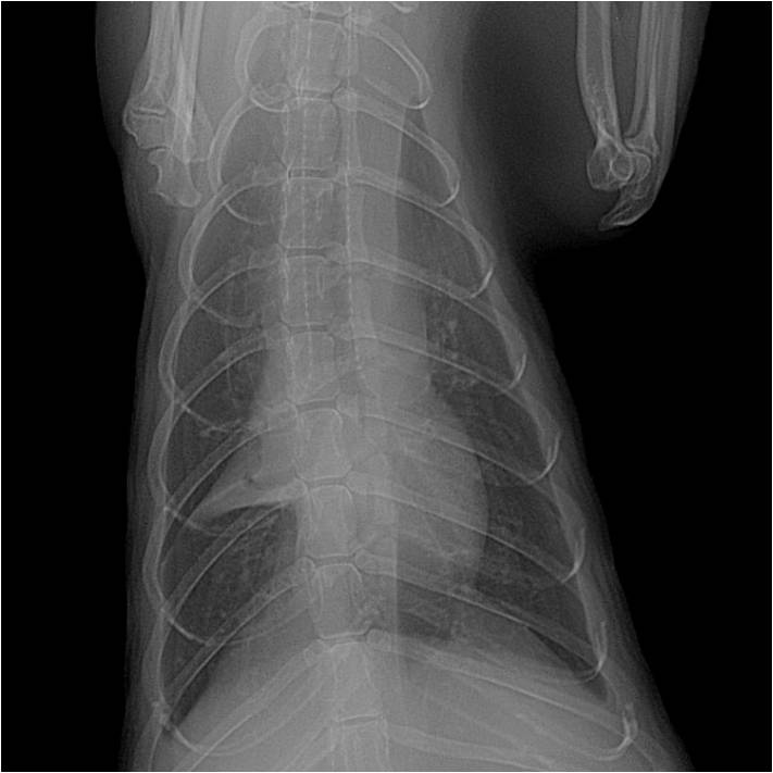
Les furets présentent des maladies cardiaques, en particulier lorsqu'ils sont âgés de plus de 5 ans. On recommande des visites de routine avec un examen échocardiographique afin de déceler d'éventuelle anomalie le plus précocement possible. En cas de signes cliniques, les furets sont souvent abattus et présentent des signes de détresse respiratoire. Une radiographie permettra de mettre en évidence les premiers signes de maladie cardiaque mais une échocardiographie réalisée par un vétérinaire expérimenté reste nécessaire pour confirmer le diagnostic. Le traitement fait appel à des médicaments cardiaques.
Maladie rénale
Les furets présentent des maladies rénales, en particulier lorsqu'ils sont âgés de plus de 5 ans. Des prises de sang et des analyses d'urine régulières sont recommandées pour déceler d'éventuelle anomalie le plus précocement possible. Les furets sont également très sujets aux anomalies rénales congénitales. Les furets souffrant de maladie rénale boivent souvent beaucoup, maigrissent et peuvent apparaitre abattu. Une échographie abdominale est essentielle pour le diagnostic de ces maladies. Le traitement fait appel à des ajustements alimentaires, parfois une hospitalisation et dans certains cas une intervention chirurgicale.
Le Dr HUYNH est un spécialiste mondial, auteur du chapitre de néphrologie dans le livre de référence : Ferrets, Rabbits and Rodents Clinical Medicine and Surgery.
Maladie neurologique
Les maladies neurologiques chez les furets sont dominées par des troubles de type convulsions ou épilepsie, des paralysies de l'arrière-train ou des syndromes vestibulaires.
Il existe de nombreuses particularités chez le furet comparé aux carnivores domestiques. Les causes tumorales (insulinome et lymphome) sont très prédominantes mais des maladies rares (myasthénie, botulisme,etc...) sont également possibles.
Le diagnostic neurologique requiert des examens très spécifiques tels que la ponction de liquide céphalorachidien, l'IRM ou le scanner, le myéloscanner ou l'electromyographie/electroneurographie.
Les possibilités de traitement sont réelles mais nécessitent un diagnostic précis.
Le Dr HUYNH est un spécialiste mondial, auteur du chapitre de neurologie dans le livre de référence : Ferrets, Rabbits and Rodents Clinical Medicine and Surgery.
Il est également l'un des auteurs du travail sur les potentiels évoqués auditifs chez le furet et son dépistage dans le syndrome de Wardenburg et le premier vétérinaire à avoir décrit la myasthenia gravis dans cette espèce:
Piazza, S., Huynh, M. & Cauzinille, L. Brainstem auditory-evoked response (BAER) in client-owned pet ferrets with normal hearing. Vet Rec 174, 581, doi:10.1136/vr.102197 (2014).
Piazza, S., Abitbol, M., Gnirs, K., Huynh, M. & Cauzinille, L. Prevalence of deafness and association with coat variations in client-owned ferrets. J Am Vet Med Assoc 244, 1047-1052, doi:10.2460/javma.244.9.1047 (2014).
Couturier, J., Huynh, M., Boussarie, D., Cauzinille, L. & Shelton, G. D. Autoimmune myasthenia gravis in a ferret. J Am Vet Med Assoc 235, 1462-1466, doi:10.2460/javma.235.12.1462 (2009).
Maladie respiratoire
Les maladies respiratoires des furets sont fréquentes et peuvent se manifester par de la toux, des difficultés respiratoires ou de la fatigue. Il existe de très nombreuses maladies respiratoires et les étiologies les plus fréquentes sont des maladies bactériennes typiques à mycobactéries, pseudomonas luteola, pneumocystis cariini ou des tumeurs.
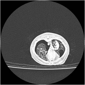
Le diagnostic se fait par des moyens d'imagerie tel qu'une
radiographie ou un scanner. Dans certains cas, il est nécessaire de faire une
endoscopie afin de réaliser un lavage broncho-alvéolaire pour isoler le germe responsable. Dans certains autres cas, une cause cardiaque doit être recherchée. Le traitement est parfois long et complexe, et nécessite dans tous les cas un diagnostic précis.
Coronavirus entérique
Les coronavirus font partie d'un groupe de virus auquel les furets sont particulièrement sensibles. On distingue deux formes cliniques, un coronavirus entérique dit entérite catarrhale épizootique et un coronavirus systémique. Ces deux virus sont différents du coronavirus dit COVID-19 chez les humains. Le coronavirus entérique provoque une diarrhée verte-vert/jaune fluo chez les furets. Cette diarrhée se déclenche généralement lorsqu'un jeune furet est nouvellement introduit dans le foyer. Le traitement nécessite généralement une hospitalisation. Le diagnostic se fait par test PCR.
Coronavirus systémique
Le coronavirus systémique est un virus différent du coronavirus entérique. Il se manifeste généralement par l'hypertrophie des noeuds lymphatiques, ce qui rappelle, par certains aspects, le lymphome. Le diagnostic se fait par des examens d'imagerie (radiographie, échographie, scanner) couplé à des analyses en laboratoire spécialisé (cytologie ou histologie). Le diagnostic est complexe car il requiert le plus souvent de l'immunohistochimie. Malheureusement, la maladie est le plus souvent fatale.
Covid-19
Comme la grippe, le furet est très sensible à la COVID-19. Il peut éventuellement être contaminé si une personne est infectée dans le foyer. De manière générale, il faut éviter d'embrasser son furet. La symptomatologie est assez proche d'un syndrome grippal. Des tests de dépistage sont possibles.
Grippe
La grippe humaine est facilement transmissible au furet. Cela se traduit par un abattement sévère, de la fièvre, parfois des lésions associées à une pharyngite et du jetage nasal. Généralement, le propriétaire déclare avoir eu la grippe dans les jours précédents l'épisode chez son furet. Elle peut parfois être très sévère et nécessiter une hospitalisation.






























